Τι είναι η ραγοειδίτιδα;
Η ραγοειδίτιδα είναι φλεγμονή μέρους ή ολόκληρου του ραγοειδούς χιτώνα, ο οποίος βρίσκεται κάτω από τον λευκό (σκληρό) χιτώνα του ματιού.
Η ραγοειδίτιδα είναι φλεγμονή μέρους ή ολόκληρου του ραγοειδούς χιτώνα, ο οποίος βρίσκεται κάτω από τον λευκό (σκληρό) χιτώνα του ματιού.
Η πιο συνήθης μετεγχειρητική επιπλοκή της αφαίρεσης καταρράκτη χωρίς όμως να προκαλεί μακροχρόνιο πρόβλημα είναι η θόλωση του οπισθίου περιφακιου (μεμβράνη που συγκρατεί τον ενδοφακό).
Το γλαύκωμα είναι μια συχνή πάθηση του ματιού που προσβάλλει εκατομμύρια ανθρώπους.
Η διαθλαστική χειρουργική είναι ένα είδος χειρουργικής επέμβασης που πραγματοποιείται για τη διόρθωση διαφόρων προβλημάτων όρασης, κυρίως διαθλαστικών σφαλμάτων.
Το μέσο του ανθρώπινου ματιού πίσω από τον φακό μέχρι τον αμφιβληστροειδή είναι γεμάτο με μια διάφανη ουσία που μοιάζει με ζελέ και ονομάζεται υαλοειδές υγρό.
Η κεντρική ορώδης χοριοαμφιβληστροειδοπάθεια (ΚΟΧΑ) είναι μια κατάσταση κατά την οποία υγρό συσσωρεύεται κάτω από τον αμφιβληστροειδή προκαλώντας μείωση της οράσεως.
Οι αρτηρίες και οι φλέβες μεταφέρουν αίμα σε όλο το σώμα σας, συμπεριλαμβανομένων των ματιών σας.
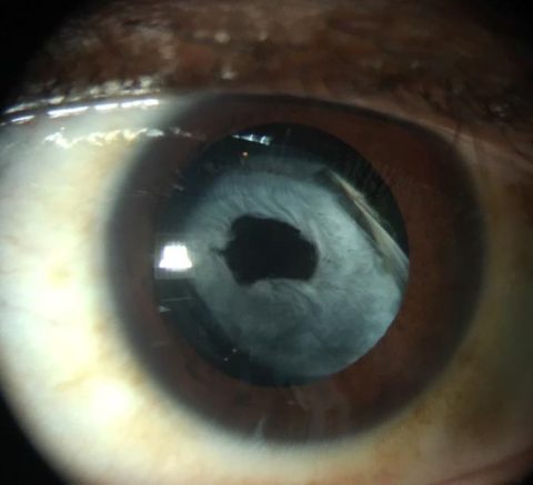
Κατά την επέμβαση καταρράκτη, ο θολός πλέον φακός του ματιού αφαιρείται και στη θέση του τοποθετείται ένας διαυγής τεχνητός ενδοφθάλμιος (στο μάτι) φακός.
Η ωχρά κηλίδα είναι ένα μικρό αλλά πολύ σημαντικό τμήμα του ματιού που βρίσκεται στο κέντρο του αμφιβληστροειδούς, είναι ασφυκτικά γεμάτη από φωτοευαίσθητα νευρικά κύτταρα και είναι υπεύθυνη για την λεπτομερή ευκρινή όραση και την αντίληψη των χρωμάτων.
Kαταρράκτης λέγεται η θόλωση ή η αδιαφάνεια του φακού στο εσωτερικό του ματιού.
Η υπερμετρωπία είναι μια διαθλαστική ανωμαλία που καθιστά δύσκολη κυρίως την κοντινή όραση αλλά σε κάποιον βαθμό και την μακρινή.
Πρόκειται για ένα πολύ λεπτό στρώμα ιστού το οποίο είναι ευαίσθητο στο φως άρα και στην εικόνα που εστιάζεται σε αυτό και στέλνει πληροφορίες στον εγκέφαλο.
Είναι ένα πολύ λεπτό στρώμα ιστού, το οποίο είναι ευαίσθητο στο φως άρα και στην εικόνα που εστιάζεται σε αυτό και στέλνει πληροφορίες στον εγκέφαλο. Στο κέντρο του αμφιβληστροειδούς βρίσκεται η ωχρά κηλίδα.
Η μυωπία είναι μια διαθλαστική ανωμαλία που καθιστά δύσκολη την μακρινή όραση.
Πολλές καταστάσεις μπορεί να οδηγήσουν σε αποκόλληση αμφιβληστροειδούς, κατά την οποία ο αμφιβληστροειδής διαχωρίζεται από το πίσω τοίχωμα του ματιού, όπως η ταπετσαρία που ξεκολλάει από έναν τοίχο.
H διαβητική αμφιβληστροειδοπάθεια (diabetic retinopathy) είναι μια επιπλοκή του διαβήτη που προκαλεί βλάβη στα αιμοφόρα αγγεία του αμφιβληστροειδούς.
Ο κερατόκωνος είναι μια πάθηση του ματιού που προκαλεί λέπτυνση και αποδυνάμωση του κερατοειδούς χιτώνα, με αποτέλεσμα να αλλάζει σχήμα.
Τα μάτια μας χρειάζονται δάκρυα για να παραμείνουν υγιή και άνετα και να βλέπουν σωστά. Εάν τα μάτια σας δεν παράγουν αρκετά δάκρυα ή δεν έχουν τη σωστή σύσταση, αυτό ονομάζεται ξηροφθαλμία.
Η πρεσβυωπία είναι όταν τα μάτια σας χάνουν σταδιακά την ικανότητα να βλέπουν καθαρά τα πράγματα σε κοντινή απόσταση.
Ο αστιγματισμός είναι μια διαθλαστική ανωμαλία που σχετίζεται με την καμπυλότητα του μπροστινού μέρους του ματιού, τον κερατοειδή.